大家有沒有聽過「全瓷冠」、「牙冠」、「全瓷牙套」或「全瓷牙冠」呢?很多人都聽過這些名稱,但對這些名詞都不了解,這次會帶著大家逐一了解全瓷冠是什麼,以及它的優點特色與價格等等,讓大家對全瓷冠有進一步的認識。
文章導覽
Toggle什麼是全瓷冠假牙、全瓷牙套?
全瓷冠又稱為全瓷假牙、全瓷冠牙套、全瓷牙套、全瓷牙冠、陶瓷假牙,全瓷冠目前業界最適合當假牙的種類,外觀上也比金屬假牙或金屬假牙陶瓷塗層還要自然。在製作全瓷冠時需要用電腦搭配掃描設計出適合患者的牙齒形狀,並用精密儀器將瓷塊切成牙齒的形狀,再由醫生將製作好的全瓷冠套在已經打磨好的牙根上,全瓷冠會像真的牙齒一樣融入整排牙齒裡。
哪些族群適合進行全瓷冠牙套?
而什麼時候會需要全瓷冠的療程呢?以下幾個狀況提供給大家參考!
先天齒型不佳
如果先天牙齒形狀較特殊,像是牙尖、開縫或玉米牙的朋友,比較容易有咬合上的問題,有這樣狀況的人適合進行全瓷冠,讓齒型更好,也能緩和咬合問題。
嚴重蛀牙或牙齒大面積斷裂
嚴重蛀牙也會因為處理蛀蟲而會讓牙齒有缺角,甚至大面積缺角,只要牙齒有大面積缺角或斷裂都會建議患者保留牙根製作全瓷冠,讓牙齒有完整的形狀。很多人會問,哪裡缺角就補哪裡,為什麼要磨小套上全瓷牙套,缺哪補哪的方式只適合小範圍的填補,而大範圍如果用填補的方式進行,會容易因為範圍過大導致碰撞後容易掉落的狀況。因此會建議大範圍的缺角或斷裂的朋友進行全瓷冠,較穩固也才是長久之計。
傳統假牙導致牙齦發炎或發黑
傳統假牙主要都是金屬材質,用久了會導致牙齦發黑或因為過敏等問題發炎,更換為全瓷冠為長久之計,不會讓牙齦有發黑狀況,材質也是很溫和不會傷害到牙齦的!
完成根管治療的牙齒
完成根管治療後,牙齒的結構不會像過去一樣穩固,為了保留剩餘的牙齒,會建議套上全瓷冠保護根管後脆弱的牙齒,也能防止斷裂,如果沒有東西保護脆弱的牙齒,原本還可以保留的牙齒存留率就會不斷降低。因此建議根管治療後聽從醫師評估進行保護與修復的療程。
四環黴素牙、牙齒脫鈣、氟斑齒
四環黴素牙就是牙齒出現類似斑馬的條紋,這個狀況通常是因為在小時候,兒童或青少年時期在恆齒琺瑯質還沒發育完全時食用了過多的四環黴素所造成的。使用美白雷射後所有漸層色階會變白,但是漸層還是會存在的,因此如果有重度四環黴素牙的朋友想要有潔白的牙齒,可以斟酌評估進行陶瓷貼片或全瓷冠,但提醒有這個狀況的朋友,四環黴素牙只是因為攝取四環黴素而導致的牙齒變色,不會對牙齒的功能及健康造成影響!
當發現牙齒上有一塊塊白斑,通常發生於牙齒脫鈣初期,發現後48小時內要多注意與維護牙齒清潔,可以多喝水降低口腔酸性環境,口水含有礦物質有機會讓即將脫鈣的牙齒恢復原狀。然而牙齒一旦脫鈣不但牙齒表面會變得粗糙,牙齒上的白斑無法移除,脫鈣也是蛀牙的前兆,要多注意牙齒清潔。而氟斑齒則是在牙齒發育、生長的過程中攝取了過量的氟元素,抑制了琺瑯質的生長,這會導致牙齒色澤泛黃、表面粗糙。牙齒如果脫鈣或氟斑齒的狀況,在外觀上會較不美觀,如果想要讓牙齒美觀則可以進行雷射美白或是與醫師討論是否需要用美白貼片或全瓷冠的方式改善牙齒外觀!
無論是有四環黴素牙、牙齒脫鈣或氟斑齒,都建議大家在決定前多斟酌評估!因為陶瓷貼片或全瓷冠的療程在進行過程中會需要磨除部分或一定的程度的牙齒區塊。
全瓷冠優點與特色
色澤自然擬真,具美觀性
全瓷冠可以有類似真牙的透白感,與陶瓷塗層金屬假牙相較,更類似真牙,很適合用於前排牙齒!
生物相容性高
全瓷冠的材質不會像金屬材質可能會造成過敏,對身體而言是很溫和的材質,不用擔心被身體排斥。
耐磨、耐用、硬度佳
假牙套除了美觀,也一定要有能夠承受咬合力和飲食咀嚼時有良好的硬度,而全瓷冠耐磨也耐用,有足夠的硬度,只要在正常使用下可以像真牙一樣的使用。
邊緣密合度佳
全瓷冠是單一材質製成,不用擔心會像金屬陶瓷塗層的牙冠在咀嚼超載時可能會發生破裂的狀況,因為在裝上牙冠後,全瓷冠可以有很好的密合度,也不需要擔心會有破裂的狀況!
全瓷冠的缺點
價格相對較高
很多人都會問全瓷冠的價格怎麼會這麼高?因為全瓷冠的費用是單顆計算,價格的確比金屬假牙或金屬陶瓷塗層的假牙還高,因為全瓷冠會需要用精密的儀器設計出類似原本真牙的形狀,每個人牙齒大小顆不同,因此會需要依靠技師及儀器的技術,仿造出真牙的模型,讓假牙裝上後不會有突兀感。每一顆全瓷冠都需要獨立設計製作,因此價格會相對較高。全瓷冠底下有不同材質、不同種類的牙冠,價格都不同。
全瓷冠材質介紹
全瓷冠主要會用兩種材質:「二矽酸鋰」和「二氧化鋯」,這兩種材質有很不同的特性,也適合放在不同位置。
二矽酸鋰:玻璃陶瓷=二矽酸鋰全瓷冠
這個材質的牙冠通常稱為全瓷冠,或是玻璃陶瓷,比較常見的品牌有:E-max、Celtra Duo,常用於前牙,是用二矽酸鋰一體成型或外層再燒瓷的方式製作而成,因為這樣製作的方式讓他有透光感,製作出來的牙套和真牙的相似度屬所有牙冠中最接近真牙的,正常使用下,這個材質的硬度雖然比二氧化鋯全瓷冠或全鋯冠稍低,但是是足夠使用的!
二氧化鋯:全鋯冠、二氧化鋯全瓷冠
常見的品牌有:Cercon、3M Lava、TDS、Wieland、Vita,使用二氧化鋯材質,可以用不同製程做出全鋯冠及二氧化鋯全瓷冠這兩種牙冠類型。
1. 全鋯冠
全鋯冠屬於全瓷冠的一種,全鋯冠是用二氧化鋯一體成形製作而成的,二氧化鋯的材質硬度較強,通常用於後牙或牙橋,有較充足的硬度,不怕有瓷裂的狀況發生,但是二氧化鋯的材質透光性較差一些,顏色也會偏死白,但是近幾年已經有改良,不會像過去那樣死白,想了解全鋯牙冠實際呈現的樣子可以在問診時與醫師了解。
2. 二氧化鋯全瓷冠
這個材質的全瓷冠製作方式和二矽酸鋰全瓷冠的方式類似,結合了玻璃陶瓷及二氧化鋯這兩種材質,以二氧化鋯為基底,外層用燒瓷手法燒上一層層的玻璃陶瓷,這種結合不但讓牙冠可以有二氧化鋯的硬度,還能有玻璃陶瓷類似真牙的透光感。
| 玻璃陶瓷 (二矽酸鋰全瓷冠) | 全鋯冠 | 二氧化鋯全瓷冠 | |
|---|---|---|---|
| 材質 | 二矽酸鋰 | 二氧化鋯 | |
| 硬度 | 硬偏弱 | 最硬 | 硬 |
| 外觀 | 最透光 最接近真牙 | 較不透光,偏死白 | 微透光 次等接近真牙 |
| 適合放在 | 前牙 | 後牙或牙橋 | 皆可,依醫師判斷 |
| 價格 | 較高 | 較低 | 中 |
想進行全瓷冠要準備多少錢?價格怎麼算?
全瓷冠都是以單顆計算,以台中或台北地區全瓷冠的價格大約在2萬到3.5萬左右,但是每個人牙齒的狀況不同,可能會因為額外的療程而有費用上的增加,療程規劃時大家可以和醫生了解全瓷冠療程費用及價格!
要怎麼保養全瓷冠?全瓷冠可以使用幾年?
保養全瓷冠就像在保養自己原本真牙一樣清潔,無論先用牙線或刷牙,或刷牙後用牙線都可以,只要正確使用牙刷及牙線,用牙刷將牙齒上的殘留清除,再用牙線深度清潔齒間縫隙並用牙線將牙冠前的牙菌斑刮除。全瓷冠可以很長久的使用,每天做好全瓷冠的保養,全瓷冠可以用長達20年以上!因此平時的清潔非常重要,只要正確的清潔,不要過度使用或咬太堅硬的東西就可以很長久使用!
彭光偉全瓷冠有什麼特別之處?
1. 醫師有超過20年全瓷冠療程經驗
2. 保固一年,使用國際大廠瓷塊,品質保證,患者安心
國際大廠:CERAMIL 德國、IVOCLAR 瑞士、3M 美國
3. 可以搭配不同療程,讓患者恢復自信笑容
4. 彭光偉醫師從業信念:「病人可以留下來的牙齒絕不隨便拔除!」
全瓷冠案例分享
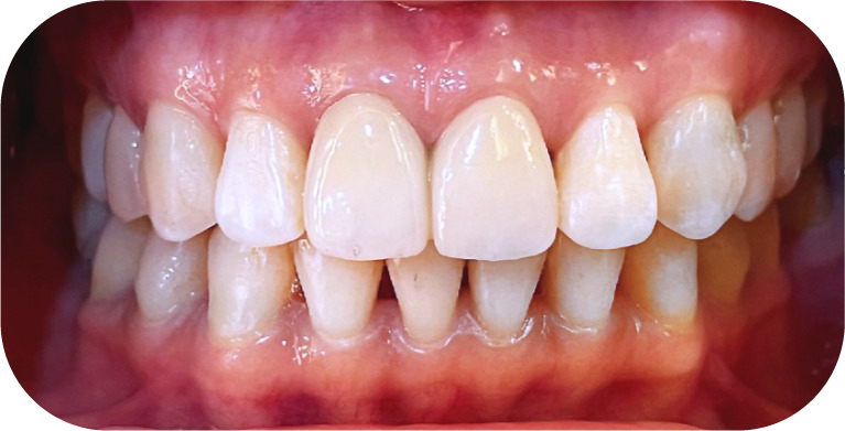
案例一:牙齒矯正搭配全瓷冠
牙齒矯正前
牙齒矯正後
案例二:全口矯正+全瓷冠+植牙
牙齒矯正前
牙齒矯正後
總結
大家知道了全瓷冠主要有三種不同類型的牙冠,無論外觀、硬度和價格上都有些許差異,整體來說全瓷冠兼具牙冠需要的美觀和硬度的優點,只是價格會比一般金屬假牙高一些,雖然全瓷冠有很多種類,但提醒大家一定要經過找信任的牙醫師,進行全面性的評估,讓醫生可以根據牙況及需要進行全瓷冠的位置規劃合適的療程及全瓷冠種類。台中彭光偉牙醫在地深耕超過20年的經驗,以誠摯與熱忱的心提供患者多元且安心的診療服務,提供多種牙齒療程歡迎預約到診!


