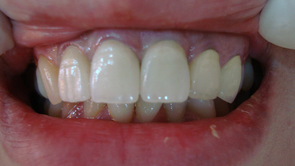
全瓷冠羅小姐

羅小姐在本診所進行全瓷冠調整將牙齒重新套上,完成後即獲得美觀的牙齒及健康的牙齒。

進行全瓷冠前

進行全瓷冠後

專業團隊為您評估最放心,就找「彭光偉牙醫診所」!

立即加入
Facebook
電話預約
返回頂端