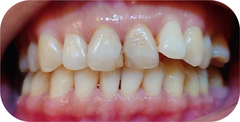
全口矯正+全瓷冠+植牙案例作者: 彭光偉診所 / 2022-09-01 彭光偉牙醫診所全口矯正+全瓷冠+植牙案例 矯正後的意外收穫,臉型也改變了! 本來臉明顯偏向一邊,經矯正後,臉型明顯回正許多 ✓ 全口牙齒矯正搭配植牙之後排列整齊,恢復美觀健康✓ 前門牙裝全瓷冠,恢復潔白色色澤 文章導覽 Toggle 牙齒矯正前牙齒矯正後 牙齒矯正前 牙齒矯正後 專業團隊為您評估最放心,就找「彭光偉牙醫診所」! 預約諮詢