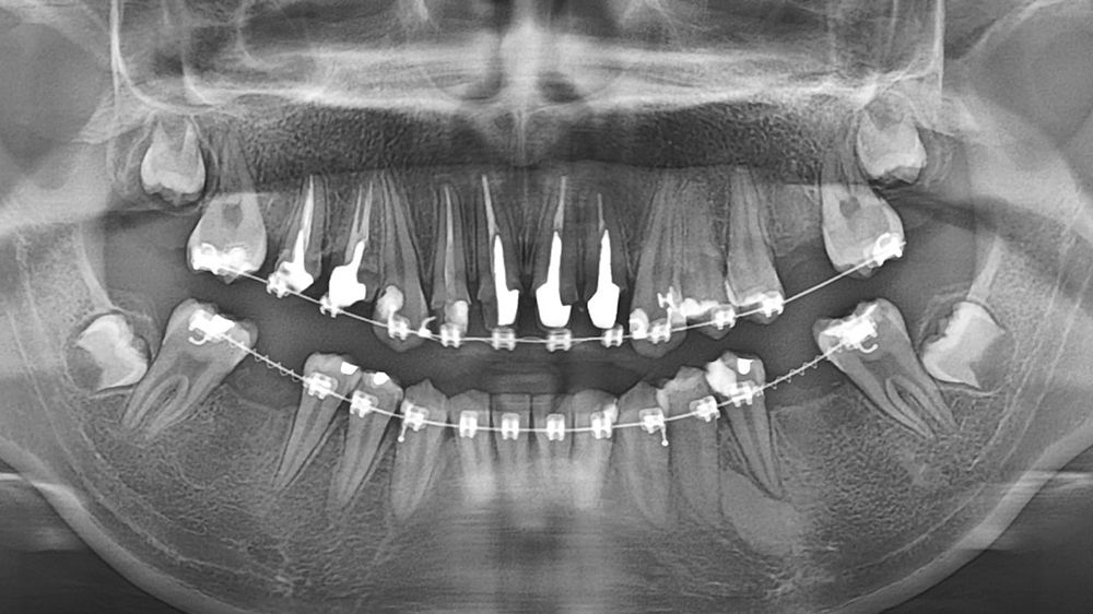
牙齒不整齊一定要矯正嗎?牙齒亂矯正案例凃小姐 作者: 彭光偉診所 / 2024-09-05 牙齒深咬暴牙怎麼辦?植牙矯正實例 文章導覽 Toggle 患者牙齒問題彭光偉醫師診斷與評估過程術後成果 患者牙齒問題 從小因排列不整齊,導致全口清潔死角較多,引發蛀牙問題,甚至嚴重到只剩殘根,造成咬合塌陷之狀況,最終只能將殘根拔除!這樣的情況不僅影響口腔健康,也導致進食困難,以至於大大影響生活。 彭光偉醫師診斷與評估過程 透過全面的牙齒重建治療,改善了全口健康、日常進食能力及往年因死角而造成無法完善清潔的問題。因此建議患者全口矯正、根管治療、植牙以及製作全瓷冠修復牙齒外觀。 術後成果 經過四年全口矯正及相關療程後重新獲得健康的牙齒與穩定的咬合!更重要的是,因為這四年的努力,找回了自信的笑容,讓生活重回正軌 ! 牙齒深咬 後牙咬合塌陷嚴重 整理蛀牙及殘根拔除 矯正進行中植牙建立 完成療程改善深咬問題 完成療程改善咬合塌陷 專業團隊為您評估最放心,就找「彭光偉牙醫診所」! 預約諮詢