每個人的笑容都獨一無二,但過去牙科治療常是先做再看效果,患者往往在治療完成後,才知道笑容會變成什麼模樣。DSD(Digital Smile Design)數位微笑設計的出現,讓這件事改變了,你可以在治療前,就看到自己未來的笑容,甚至一起參與設計。
如果你正在考慮做美白貼片、全瓷冠、牙齒整形或改善笑容比例,這篇文章將帶你深入了解DSD的優勢、流程、耗時與費用範圍,幫你判斷這項技術是否適合自己。
文章導覽
Toggle什麼是DSD數位微笑設計?
DSD是由巴西牙醫Dr. Christian Coachman所提出的牙科設計理念,使用高解析相片、3D 掃描與專業軟體,在治療前就能模擬出笑容成果。
簡單說,DSD就像是笑容建構設計圖:
分析你的臉型、嘴唇動態、牙齒比例
以2D/3D技術呈現治療後的模樣
讓你預先看到笑容,並參與調整
這讓牙齒美容不再靠想像,而是以科學精準打造。
DSD有什麼好處?
1. 治療前可預覽成果,降低不確定感
傳統美學牙科,患者常擔心:會不會做出來太假?太白?太整齊?像假牙?DSD可在正式治療前提供完整的笑容模擬,讓你能提前看到樣貌。
2. 客製化設計,符合你的臉型與個人特質
DSD設計會考量:
臉部比例(臉型、五官平衡)
微笑弧度(唇線、笑線)
牙齒比例(寬度、高度、弧度)
性格風格(自然、氣質、活潑、個性)
打造出最適合你氣質的笑容,而不是千篇一律的白牙。
3. 大幅提升貼片、全瓷冠的完成度
任何前牙美容治療(貼片、冠、牙縫改善、黑三角修補)都需要高度美學判斷。
透過DSD,醫師能精準掌握:
牙齒該變多白?
牙縫應調多少?
整體弧度怎麼設計?
哪顆牙需要微調形狀?
成品更自然、密合度更好,也更能呈現患者預期的效果。
4. 患者可參與設計決策,提高滿意度
DSD是一個醫師+患者共同創作的過程。你可以親眼看到模擬結果後提出想法:
想再白一點?
想自然不假?
想增加氣質感?
想有更年輕的微笑線?
這在以往的牙科流程中,是做不到的。
DSD微笑設計是怎麼做的?完整流程解析
以下是進行DSD時的標準流程:
Step 1:初診評估與討論需求
拍攝臉部照片、微笑照片
牙齒與口內檢查
討論想改善的部分(顏色、牙縫、形狀等)
Step 2:數位資料蒐集(拍照+口掃)
數位口腔掃描(取代傳統牙模)
高解析臉部攝影
側臉、正面各角度微笑照
這些資料會輸入DSD系統做模擬。
Step 3:2D/3D 模擬笑容設計
醫師根據你的:
臉型
唇線
牙齒長寬比例
個人氣質
製作出專屬的笑容設計模型。
Step 4:Mock-up 試戴(讓你看到真實效果)
這是DSD最有魅力的地方!
透過3D列印與樹脂材料,醫師會在你原本牙齒上試戴暫時模型(Mock-up)。
你能直接看到成品的比例與樣子:
讓你從鏡子、相機、影片中檢視
可以現場微調長度、弧度
不滿意可以立刻調整設計
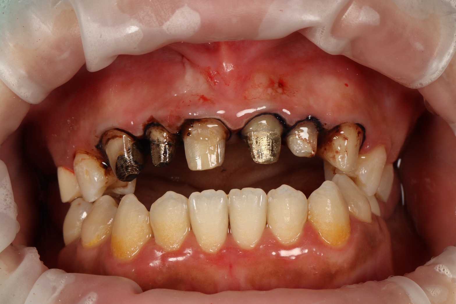
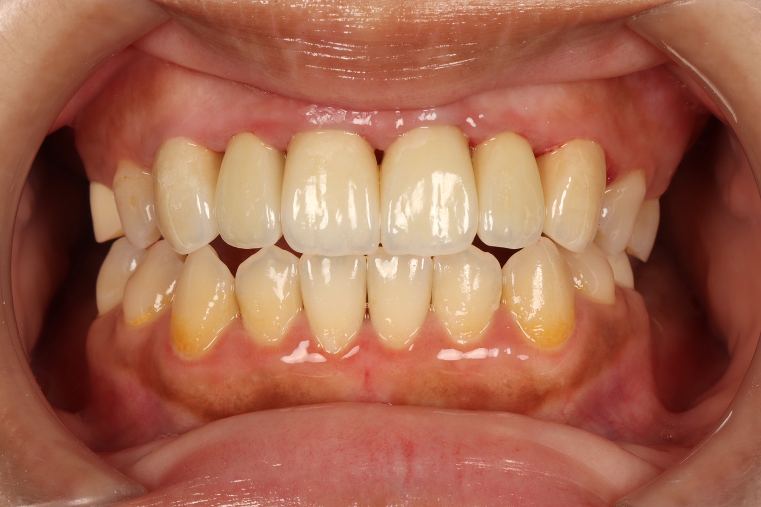
Step 5:正式治療(如貼片、全瓷冠等)
等你確認設計後,才會進入正式治療階段。
DSD設計需要多久?療程時間說明
依照個案不同,一般流程如下:
| 療程項目 | 所需時間 |
|---|---|
| 初診諮詢+拍攝評估 | 30–60分鐘 |
| 數位資料蒐集(拍照+口掃) | 約30分鐘 |
| DSD設計時間 | 7–14天 |
| Mock-up試戴 | 30–60分鐘 |
| 正式治療(貼片/全瓷冠) | 1–3週 |
整體而言,從第一天到完成新笑容,約需2–4週,視牙齒狀況的複雜度而定。
DSD微笑設計很貴嗎?
不同診所依醫師經驗、設備、材質與是否包含貼片/全瓷冠而異,一般費用範圍為:
DSD設計費
NT$10,000–30,000(看診所定位與是否含 Mock-up)
若搭配美白貼片
每顆 NT$18,000–35,000(依材質、製作技術而異)
若搭配全瓷冠
每顆 NT$18,000–40,000+
通常DSD是前牙美容治療的一部分,價差會依需要調整的牙齒數量而變動。
誰適合做DSD微笑設計?
想改善「笑容比例」的人
想做貼片、全瓷冠但擔心效果不自然的族群
上班族、空服員、直播主、演藝人員
有黑三角、牙縫過大、牙形不美觀者
做過美白仍無法達到理想白度者
簡單說:想一次解決笑容外觀問題的人都適合DSD。
結語:DSD是精準、美觀、安心的笑容設計方式
DSD把牙齒美學從結果論變成可預期的設計,你不用再冒著結果不滿意的風險,而是能在治療、設計、試戴的每個階段都參與其中。如果你在意笑容細節、希望治療結果自然又耐看,那麼DSD微笑設計會是最值得考慮的選擇。




