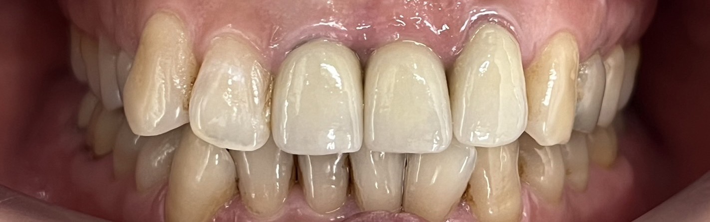
門牙斷裂,假牙不好看怎麼辦?江小姐案例作者: 彭光偉診所 / 2024-08-26 門牙假牙不美觀怎麼辦?門牙斷裂替換假牙實例 文章導覽 Toggle 患者牙齒問題醫師評估與術後成果 患者牙齒問題 因為外傷導致門牙斷裂與原假牙不美觀而感到困擾。 醫師評估與術後成果 經過醫師仔細評估牙齒受損的情況,建議拔除與利用植牙手術重建受損牙,再重新製作兩側的假牙,經過骨整合與整理裝上與真牙最相近的全瓷冠,患者重新獲得自然笑容! 外傷導致門牙斷裂原假牙不美觀 利用植牙手術重建受損牙 完成療程製作全瓷冠替換舊假牙 專業團隊為您評估最放心,就找「彭光偉牙醫診所」! 預約諮詢