陶瓷貼片搭配全瓷冠案例
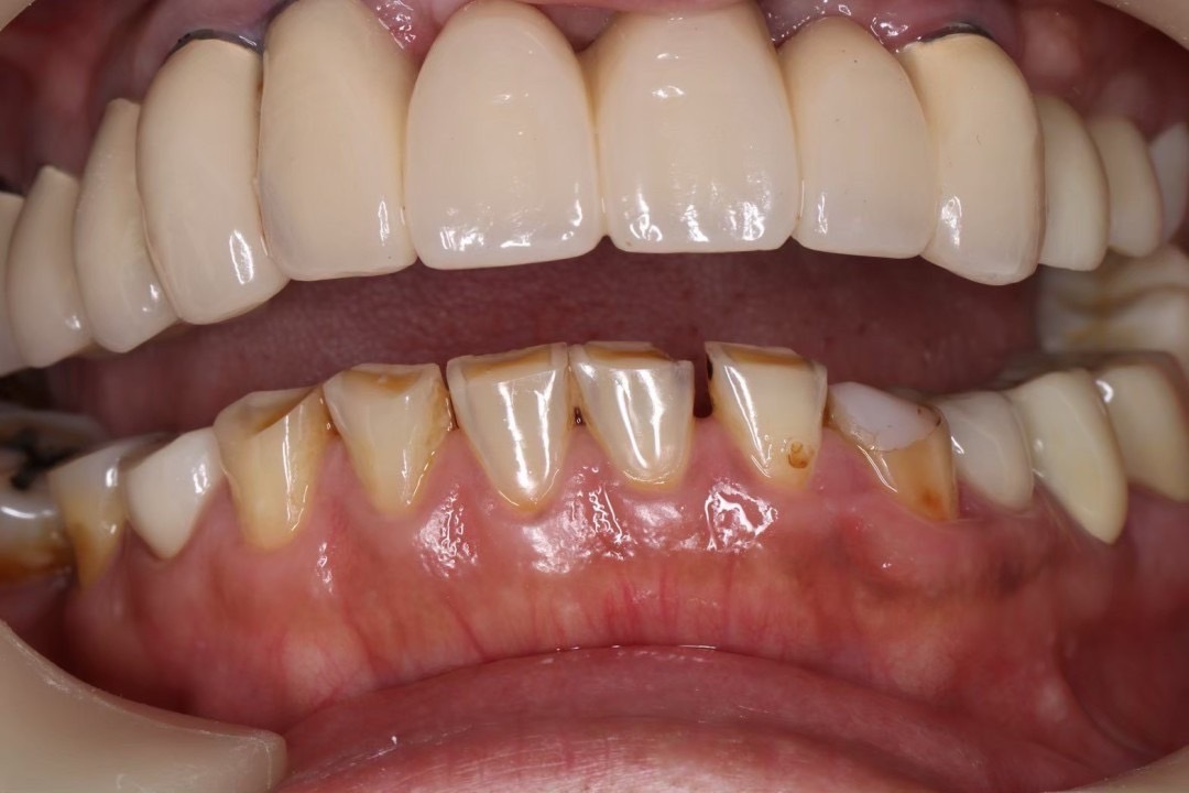
患者一開始的訴求是覺得牙齒暗沉又偏黃之外,也覺得牙齒的體積太小讓牙縫看起來很明顯。除此之外,患者的上排牙齒幾乎是植牙後做的假牙,長時間導致下排自然牙齒磨耗嚴重。患者希望齒色改善以外,也希望牙齒看起來大顆一點能改善牙齒型態及牙縫的問題。經醫生評估後,沒有根管治療過的牙齒用陶瓷美白貼片的方式改善外觀,而有根管治療過的牙齒用全瓷牙冠的方式保護起來。在製作陶瓷美白貼片前醫師會先跟患者進行溝通確定患者的需求再印製術後的蠟型樣式請患者過目後沒有問題才會開始施作。陶瓷美白貼片只需修掉患者面側的一點點齒質後就能利用缺少的面積已陶瓷貼片的方式製造條件內允許的型態和顏色。
文章導覽
Toggle來自患者的心聲
覺得牙齒暗沉又偏黃之外,也覺得牙齒的體積太小讓牙縫看起來很明顯。除此之外,因為上排牙齒幾乎是植牙後做的假牙,長時間導致下排自然牙齒磨耗嚴重。希望齒色可以改善以外,也希望牙齒看起來大顆一點能改善牙齒型態及牙縫的問題。
醫師評估:採用陶瓷貼片搭配全瓷冠改善
經醫生評估後,沒有根管治療過的牙齒用陶瓷美白貼片的方式改善外觀,而有根管治療過的牙齒用全瓷牙冠的方式保護起來。
在製作陶瓷美白貼片前醫師會先跟患者進行溝通確定患者的需求再印製術後的蠟型樣式請患者過目後沒有問題才會開始施作。
陶瓷美白貼片只需修掉患者面側的一點點齒質後就能利用缺少的面積已陶瓷貼片的方式製造條件內允許的型態和顏色。
術後成果
術後讓上下排牙齒看起來更自然,牙縫大的問題改善提升了患者日常飲食品質,說話也不會因為牙縫而有漏風的問題,口齒變得更清晰,也不用因為牙縫而擔心蛀牙問題。
治療前
有牙縫大、牙齒黃問題
治療後
改善牙縫問題降低蛀牙問題


